Главная
/
Альвеолит
Альвеолит в Стоматологии Все свои!
Альвеолит - диффузный воспалительный процесс, который предполагает поражение альвеол. Может быть как независимым диагнозом, так и симптомом какого-либо другого заболевания. Основными признаками считаются: отдышка, сухой малопродуктивный кашель, общее недомогание и болезненность в конечностях. Методика лечения подбирается в зависимости от формы недуга. При токсическом и аллергическом типе наряду с использованием лекарственных средств необходимо устранить раздражитель, а при фиброзирующем применяются глюкокортикоиды.
Акции и скидки
Беспроцентная рассрочка на брекеты на 2 года
Срок действия
Постоянная акция
Представлены текущие акции
Новые предложения появятся позже
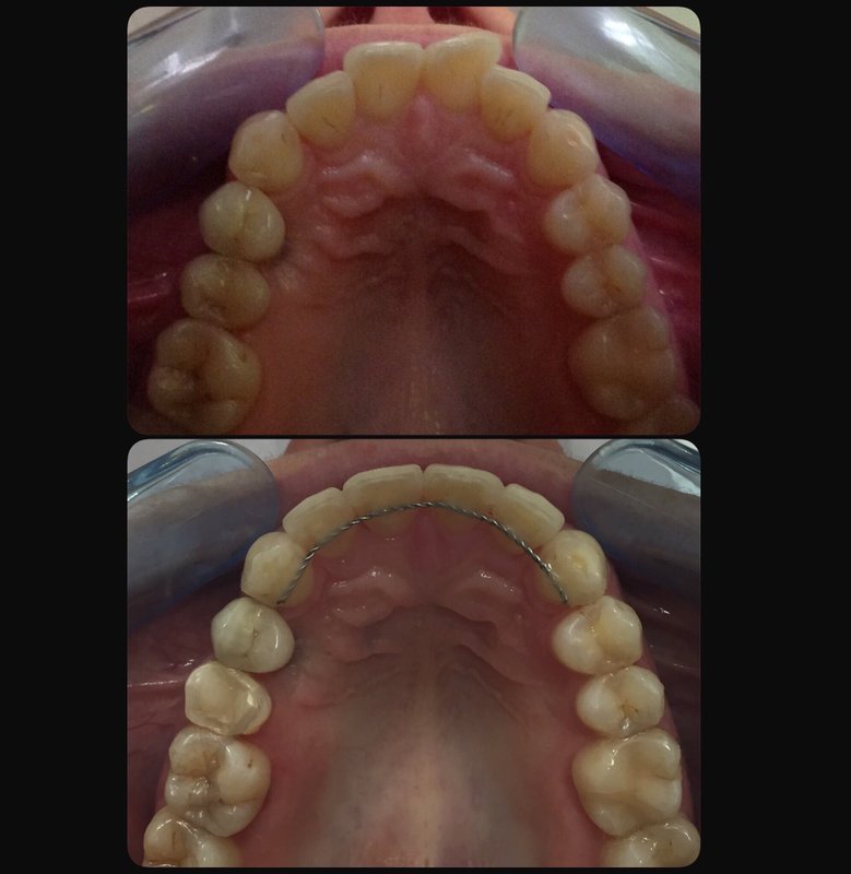
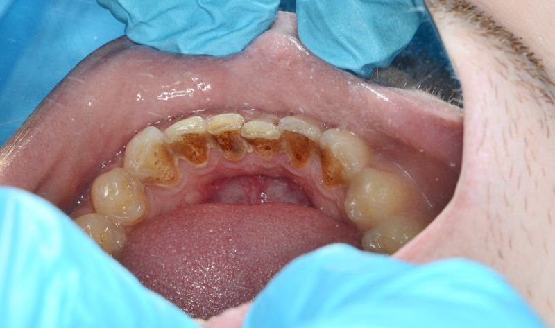
Фотогалерея
Отзывы
5,0
Егор
Преимущества: Отличное обслуживание. Записался на прием к терапевту. Приняли, оформили, сопроводили как полагается. Принимал врач явно опытный и давно знающий грамотное общение с людьми. Пломбировали зуб, побеспокоил после лечения недолго. И теперь отлично себя чувствует. Очень доволен посещением)
Недостатки: отсутсвуют (ну может цена дороговато)
Комментарий:
все описано выше
9 октября 2025 Отзыв взят с сайта Zoon.ru
1,0
Margarita Logutova
Преимущества: Нет
Недостатки: Добрый день!
Огромное разочарование, что обратилась в Вашу клинику и к данному специалисту.
По заявленному одному зубу Вы без моего ведома и уведомления удалили 2 зуба.
Так как я была под анестезией не могла физически контролировать данную процедуру.
По результатам работы Вашей низко квалифицированной клиники и медицинского персонала, я лишилась двух зубов, вместо одного, в связи с высокой температурой в течении 3 дней и отсутствия на работе, тем самым теряя свой доход..
На основании Ваше изложенного:
В связи с халатной работой врача и медицинского персонала также направляю претензию в вышестоящие контролирующие организации.
И как законно послушный гражданин я обязана предостеречь пациентов от этой клиники, где вместо 1 зуба, удаляют 2 зуба и раскручивают на деньги.
13 мая 2025 Отзыв взят с сайта Zoon.ru
5,0
Кирилл Ворыпаев
Комментарий:
Пришёл в клинику, когда два зуба было уже не спасти. Пришлось удалить шестой и седьмой зуб. Остро встал вопрос о их восстановлении. Доктор Сулейманов посоветовал имплантацию- методика отработана, опыт накоплен большой, я согласился. . В вопросе выбора какой фирмы имплант я целиком и полностью положился на доктора. Операция прошла хорошо. Все рекомендации соблюдал, все прописанные препараты принимал. Прошло четыре месяца- и я с зубами. Привык буквально за неделю.
13 января 2025 Отзыв взят с сайта Zoon.ru
5,0
Ай
Преимущества: Пришла в клинику изначально с острой болью в зубе мудрости, не теряя времени решила вылечить все зубы и поставить брекеты. Мне сделали расчет стоимости, и мы сразу же начали лечение. Врачи хорошие, терапевты все делают аккуратно, всегда спрашивают о самочувствии, консультируют по всем вопросам. Хирурги от бога, при удалении зубов мудрости очень боялась, в итоге все прошло безболезненно и я без страха удалила все восьмерки. Ухожу из клиники всегда в отличном настроении, врачи заряжают хорошим настроением. График клиники удобный, с утра до позднего вечера, расположение близкое к дому. Рекомендую всем, кто хочет вылечить свои зубы!
Недостатки: Нет
23 мая 2024 Отзыв взят с сайта Zoon.ru
5,0
Анжела Юрьевна
Преимущества: Удобное расположение, вежливо администратора, замечательный врач
Недостатки: Недостатков я не заметила
Комментарий:
Здравствуйте, сегодня хотела бы оставить отзыв про данную клинику, я из разряда очень довольных пациентов. Хочу обратить внимание на несколько важных для меня аспектов : во-первых, в клинике бесплатный осмотр, во-вторых в этой клинике мне не навязывали никаких не нужных мне услуг, в третьих, что меня особо порадовало и удивило, цена не изменилась после предоставления мне стоматологических услуг. Третий пункт для меня особенно важен, потому что раньше, когда я ходила в другие клиники, цена могла варьироваться, и никогда не уходила в меньшую сторону от названной. Поэтому меня очень удивил тот факт, что названная цена не изменилась, и мне это очень понравилось.
Отдельную благодарность я выражаю доктору Семенюку. Доктор крайне внимательно провёл осмотр, и ему удалось спасти мой зуб. У меня особенно строение Зубов, и мешочки с нервами расположены достаточно близко к дентину. Доктор комментировал свои действия, и вычистил кариес, не задев нерв! В клинику я обязательно вернусь, так как меня максимально удовлетворило качество оказанных услуг.
1 марта 2024 Отзыв взят с сайта Zoon.ru
5,0
Олег Ершов
Преимущества: Уже полтора года прохожу разнообразное лечение в этой потрясающей клинике. У меня очень плохие зубы, а треть вообще отсутствует. Тут мне и импланты ставили, и коронки, и пародонтология. Всё всегда отлично, намереваюсь лечить зубы и дальше. Персонал всегда вежливыйвежливый, позвонят за день и предупредят. Всегда есть чай/кофе и печенье с конфетами :)
Недостатки: Не заметил
Комментарий:
Буду рекомендовать всем своим друзьям, знакомым и близким
31 января 2024 Отзыв взят с сайта Zoon.ru
5,0
Ксения
Преимущества: На данный момент прохожу лечение в стоматологии «все свои» на Маяковской. Безумно нравится стоматология, очень качественное обслуживание, вежливый персонал. Особая благодарность Дмитрию Геннадьевичу Шаврову и Деревянных Анне Андреевне. Врачи с большой буквы, потому что максимально качественно выполняют свою работу. Очень трепетно относятся к пациентам, все подробно объясняют и действительно помогают исправить ситуацию, самые лучшие 🥹🫶🏻. Так же хочется отметить работу координатора, очень приятная девушка Даяна, все объяснила и поддержала. При выборе стоматологии, определенно советую это место, потому как цена соответствует качеству выполняемой работы
Недостатки: нет
Комментарий:
определенно лучшая стоматология
25 января 2024 Отзыв взят с сайта Zoon.ru
5,0
Юлианна
Замечательная клиника. Приятный , дружелюбный персонал. Гибкие цены, скидки , акции радуют постоянно. Лечимся в данной клинике с 2019 года. Ребенок очень доволен, перестал боятся стамотологов. Огромное спасибо нашему лечащему врачу Светлане Игоревне.
10 ноября 2023 Отзыв взят с сайта Zoon.ru
5,0
Ольга
Добрый вечер. Хотелось бы оставить отзыв о клинике все свои. Очень все хорошо, четко, и безболезненно делают и за приемлемую цену. Так как сейчас очень трудно найти хорошую клинику и за умеренную цену, эта клиннику что нужно. Советую всем посетить её уйдете гарантирую довольные.
15 октября 2023 Отзыв взят с сайта Zoon.ru
5,0
Мария Шевелева
Хожу лечить зубы только сюда, в процессе лечения никакого дискомфорта нет. Ставлю 5 звезд за хорошее обслуживание, по ценам не дешево, но оно того стоит.
2 августа 2023 Отзыв взят с сайта Zoon.ru
5,0
Наталья
Преимущества: Обратилась в клинику по рекомендации знакомой, которая 8 лет назад устанавливала в этой клинике имплант. Сейчас занимаюсь лечением, подготовкой к протезированию, установкой имплантов. Очень довольна работой врачей терапевта Манукаевой Ц.Ю., имплантолога Сулейманова С.Н. и координатора Гараевой А.
Всем советую без сомнений доверять лечение своих зубов этим врачам.
Недостатки: Нет
10 июля 2023 Отзыв взят с сайта Zoon.ru
5,0
Жасмин
Преимущества: красивый и чистый интерьер внутри. Сотрудники приятные и доброжелательные. Хорошо вылечили кариес!!
Недостатки: все ок
Комментарий:
Приятное заведение в общем
9 июля 2023 Отзыв взят с сайта Zoon.ru
5,0
Сковпень Светлана Владимировна
Преимущества: Удобное расположение в городе, обходительность персонала, система бонусов!
Недостатки: Я не совсем понимаю для чего всем новым клиентам предлагать делать снимок зубов. Можно, но я отказалась...
Комментарий:
Приятно было получить подарочные сертификаты!
7 июля 2023 Отзыв взят с сайта Zoon.ru
5,0
omgonly
Преимущества: Качество работ, цена, персонал
Недостатки: Нет
Комментарий:
Обратился по острой зубной боли. Врач посмотрел, сделали рентген, составили договор на оказание услуг. При первичном осмотре думал просто устранить причину боли, а лечить буду в другой клинике. Но понравилось качество работ, персонал и ценник адекватный! Зуб залечили, поставили пломбу и вот уже второй зуб пойду делать. Спасибо за то что есть такие клиники как ваша, все понравилось будем дальше с вами двигаться.
6 июля 2023 Отзыв взят с сайта Zoon.ru
5,0
Диана
Преимущества: Все понравилось. Обслуживание на высоте. Все чисто, приятно находиться там.
Недостатки: Не большой страх и смущение о того, что вновить всю сумму нужно сразу наличными, пока не получил лечение. Вначале думала обман.
Комментарий:
Благодарность Клинике "Все свои"! Теперь красивая и здоровая улыбка есть и у меня! Мечты сбываются!!! Благодарю клинику "Все свои", теперь вы действительно СВОИ!!!!
В клинике "Все свои" я вылечила 3 кариеса и сделала реставрацию 2 зубов. Мне очень понравилась Ирина мой координатор, эта девушка с которой так легко общаться и решать все вопросы. С искренним и добродушным желанием Ирина предложила мне лучшие и выгодные цены и условия лечения. Она просто запала мне в душу, так как узнав мою ситуацию видно человек хотел мне помочь от всего сердца.
Так же особую благодарность хочется оставить и доктору Наталье Александровне! Девушка хороший молодой специалист в своей сфере. Была очень внимательна ко мне во время всех посещений, старалась максимально комфортно и аккуратно провести лечение моих зубов. Результат порадовал не только меня, но даже и моих близких. Муж был в восторге! Благодарю клинику "Все свои", теперь вы действительно СВОИ!!!!
Сохранила ваши контакты и если что снова вернусь к вам, так же буду рекомендовать своим знакомым и близким!!!
6 июля 2023 Отзыв взят с сайта Zoon.ru
5,0
Варвара Беляева
Комментарий:
Мы обратились к детскому стоматологу, так как у нашего сына появился желтый налет на передних зубах. Я был приятно удивлен, когда увидел, что малыш не испугался и врач смог найти подход к нему. Он провел осмотр полости рта в игривой форме, очень аккуратно и деликатно.Врач назначил нам ряд уходовых процедур, которые помогут сохранить эмаль зубов. Он подобрал индивидуально пасту и щетку для зубов, учитывая возраст и тип эмали наших зубов. Он также объяснил нам причины появления желтого налета и успокоил нас одним словом. Мы очень довольны визитом к этому специалисту и теперь планируем продолжать наблюдаться у него. Он показал свою заботу и профессионализм в работе с детьми, и мы полностью доверяем ему в вопросах здоровья наших детей. Благодарим врача за отличную работу!
6 июля 2023 Отзыв взят с сайта Zoon.ru
5,0
Алексей Винской
Преимущества: Долго искал нормальную клинику для удаления зубов мудрости. Кажется, таких нормальных клиник много, но в них также нормально кусаются цены. Наконец остановился на выборе клиники "все свои". Сначало также думал о том, что в ней цены высокие, но как только узнал цену, был крайне рад. О персонале могу сказать только хорошее, приятный, вежливый. Клиника чистая и приятная, находится в ней комфортно. Оказали помощь на ура, зуб мудрости удален. В общем, могу сказать о этой клинике только в хорошем свете. Рекомендую.
Недостатки: Особых минусов я не заметил.
2 июля 2023 Отзыв взят с сайта Zoon.ru
5,0
Наталья
Была на приеме , врач стоматолог- -гигиенист: Халиков Булат Азатович.
Делала чистку, затем зум отбеливание.
Прекрасное отношение врача к своей работе. Сразу видно профессионала и мастера своего дела! Спокоен, тактичен, уверен, это передается и пациенту! После каждого посещения этого доктора, никакого стресса не испытывала и результатом оставалась очень довольна! Благодарю Булата Азатовича, за прекрасные человеческие качества и высокий профессионализм
30 июня 2023 Отзыв взят с сайта Zoon.ru
5,0
Александра
Преимущества: Быстро удалили зубы мудрости. Осталась в восторге от хирурга - Станислава. Трепетно относится к своей работе.
Недостатки: Нет
Комментарий:
Удобный сервис услуг. Оповещение до посещения. Работают опытные координаторы.
29 июня 2023 Отзыв взят с сайта Zoon.ru
5,0
даниил
Преимущества: Мне понравился дружелюбный и вежливый персонал, и внешний уют клиники, комфортные кушетки и приятный ремонт
Недостатки: недостатков не заметил
Комментарий:
записался на пломбирование, по приезду в клинику меня ждал приветливый персонал, во время процедуры не чувствовалось боли и дискомфорта, все прошло оперативно и просто. Я остался доволен результатом. Буду рекомендовать эту клинику своим родным и близким.
28 июня 2023 Отзыв взят с сайта Zoon.ru
5,0
Smail Kitti
Преимущества: Обслуживание персонала. График удобный и местоположение.
Недостатки: Отсутствуют.
Комментарий:
Очень теплые и хорошие впечатления о клинике. Понравился осмотр. Начала лечение сразу. Подписала договор. Скидки и акции вообще на ура. Советую эту клинику.
27 июня 2023 Отзыв взят с сайта Zoon.ru
5,0
Римма
Преимущества: Вежливые
Недостатки: Нет
Комментарий:
Хорошие цены ,все понравилось 😊
26 июня 2023 Отзыв взят с сайта Zoon.ru
5,0
Леня Довженко
Комментарий:
Цены хорошие,делают все нормально, персонал очень вежлив и занят своим делом, врач делал зубы замечательно.
23 июня 2023 Отзыв взят с сайта Zoon.ru
5,0
Валерия
Преимущества: Отношение всего персонала от и до, соотношение цена/качество, быстрота решения проблемы
Недостатки: Не могу сказать, пока все устраивает
Комментарий:
Удаляла 8ки для последующей установки брекетов. Сделали все оперативно и качественно. Восстановилась быстро. Я довольна. Плюс сертификаты еще дали, детей тоже поведу, пока хотя бы на осмотр, а там видно будет.
7 июня 2023 Отзыв взят с сайта Zoon.ru
5,0
Людмила Владимировна
Преимущества: Удаляла зуб
Врач профессионал, все прошло быстро и без боли!
Недостатки: Нет
Комментарий:
Без очередей, внимательный персонал, вежливый, если что то обращусь снова обязательно
6 июня 2023 Отзыв взят с сайта Zoon.ru
5,0
Виллианна
Преимущества: Обратилась на удаление зуба, также расписали и подробно показали необходимое для меня лечение для других зубов. В скором времени продолжу лечение. Понравился подход и отзывчивость доктора, детально рассказали о самостоятельном уходе, на следующий день связывались поинтересовались о самочувствии. Приятно было иметь с вами дело)
Недостатки: Помощница при рентгене сильно давила на десну
5 июня 2023 Отзыв взят с сайта Zoon.ru
5,0
Наталья Постникова
Преимущества: Цена, отношение, качество, без боли!
Недостатки: нет
Комментарий:
Обратилась в клинику с запущенным случаем. Лечение 14 зубов... Это конечно рай, по сравнению с поликлиникой по ОМС. И цены намного выгоднее, почти в 2 раза дешевле, чем в другой клинике. Атмосфера доброжелательная, лечение без боли, качество на высоте! Всем советую, теперь только к ним буду обращаться!
3 июня 2023 Отзыв взят с сайта Zoon.ru
5,0
Максим Косомов
Преимущества: понравились цены и профессионализм врача.
Недостатки: не увидел
Комментарий:
Я в этой клинике зуб мудрости удалял. Как и многие , наверно , не очень люблю лечить зубы. А удалять так вообще боюсь. Сюда зашел "по наводке" друга , он здесь постоянно зубы лечит. За удаление зуба я заплатил не так уж и дорого. Выдрали быстро, даже почти ничего не почувствовал , укол сделали тоже не больно. Врачи тут точно профи. Доказано!
26 мая 2023 Отзыв взят с сайта Zoon.ru
5,0
Светлана
Преимущества: Демократичные цены, внимательный и понимающий персонал, высокая квалификация
Комментарий:
Администраторы встретили «как родную», быстро оформили карту и проводили в кабинет первичного осмотра. Очень внимательная врач провела полный осмотр, дала исчерпывающие комментарии по моим проблемам, объяснила, что предстоит сделать, ответила на все вопросы. После первичного осмотра врачи конечно составляют целый план лечения, который имеет скорее рекомендательный характер, то есть он может напугать, но администраторы обьясняют, что каждую процедуру выполнять не обязательно, да и прямо здесь и сейчас все оплачивать кончено не надо, это план на несколько лет, который подлежит редакции и имеет рекомендательный характер. Потом мне сделали рентген и проводили к врачу, который провел нужное лечение. И совсем не больно! Конечно, под местным обезболиванием. Проблема была сложная, но мне ее решили! И цены очень даже демократичные) Также хотела бы заметить что врачи берутся за "совсем плохие" зубы, которые другие врачи хотят выдрать и имплант поставить. После первичного осмотра врачи конечно составляют целый план лечения, который имеет скорее рекомендательный характер, то есть он может напугать, но администраторы обьясняют, что каждую процедуру выполнять не обязательно, да и прямо здесь и сейчас все оплачивать кончено не надо, это план на несколько лет, который подлежит редакции. Спасибо докторам и администраторам клиники «ВСЕ СВОИ» в Митино за квалифицированную помощь и доброе, внимательное отношение.
25 мая 2023 Отзыв взят с сайта Zoon.ru
5,0
Илья кесер
Преимущества: В эту клинику привела жена. Очень понравилась сама клиника, персонал и процесс лечения , все прошло без какого либо дискомфорта, есть разные виды пломб и коронок - все подбирают по карману. Стоимость услуг с акциями гораздо ниже конкурентов , по качеству вопросов нет - все супер !
Однозначно рекомендую!
Недостатки: Полная запись ко врачу
26 апреля 2023 Отзыв взят с сайта Zoon.ru
5,0
Денис Осипов
Отличный доктор. Сделал очень нежную чистку полости рта
14 апреля 2023 Отзыв взят с сайта Zoon.ru
4,0
Лилия
Преимущества: Своё лечение и удаление зубов доверяю только этой клинике.
Недостатки: Нет.
Комментарий:
Обращаюсь в эту стоматологию не в первый раз, и нравится в этой клинике буквально всё - атмосфера уютная, спокойная, чистая, внимательные, аккуратные, позитивные врачи. В последний раз лечила зуб и ставила пломбу. Перед лечением, врач провел тщательный осмотр, сделал снимок, рассказывал все свои действия. Лечили зуб с обезболивающим, боли совсем не почувствовала. Своё лечение и удаление зубов доверяю только этой клинике.
10 апреля 2023 Отзыв взят с сайта Zoon.ru
5,0
Alina Gaynullina
Преимущества: Понравилось качество оказанной услуги
Недостатки: Не обнаружено
Комментарий:
Обращалась в данную клинику, что бы поставить пломбу на зуб. Очень понравилось качество оказанной услуги. Персонал здесь приветливый. Долго боялась идти на лечение, оказалось зря. В этой клинике настоящие профессионалы. Сделают все аккуратно и почти безболезненно. Так же понравилось, что здесь есть детский врач стоматолог. Хочу еще придти с дочкой.
9 апреля 2023 Отзыв взят с сайта Zoon.ru
5,0
Markvik
Преимущества: Хорошее обслуживание.
Недостатки: Ненашел
Комментарий:
Я посетил стоматологию Все Свои и могу сказать, что это был очень приятный опыт. Персонал был очень профессиональным и внимательным к моим потребностям. Они провели полное обследование и дали мне детальную консультацию по состоянию моих зубов. Я также получил чистку зубов, которая была проведена очень тщательно и бережно. Атмосфера в клинике была уютной и комфортной, я чувствовал себя расслабленным и спокойным во время всей процедуры. Я рекомендую стоматологию Все Свои всем, кто ищет профессиональное и качественное стоматологическое лечение. Большое спасибо за вашу заботу о моих зубах!
7 апреля 2023 Отзыв взят с сайта Zoon.ru
5,0
Кан Сантаев
Преимущества: Приемлемые цены и выгодные предложения
Комментарий:
Я за четыре тысячи рублей сделал в этой стоматологии профессиональную чистку полости рта со снятием зубного камня и полировкой. Результатом более, чем удовлетворён.
6 апреля 2023 Отзыв взят с сайта Zoon.ru
5,0
Елизавета Грицай
Недостатки: Не заметила
Комментарий:
Устанавливала коронку на два передних зуба, выбрала металлокерамику. Смотрится аккуратно и естественно, наконец то довольна своей улыбкой. Врачу благодарна за теплый прием и комфортную атмосферу, дал рекомендации по дальнейшему уходу за зубами.
3 апреля 2023 Отзыв взят с сайта Zoon.ru
5,0
Вера
Преимущества: Меня приятно удивили цены, и то, что часто проводятся акции. Мне нужно было запломбировать зуб, и я выбрала самый оптимальный по цене вариант. Осталась довольна. И потом еще пришла на чистку камня
Недостатки: Не заметила
Комментарий:
Отличная семейная стоматология. Мне её порекомендовала дочь, которая несколько раз обращалась сюда, вылечила все зубы, и теперь периодически ходит на проф осмотры и чистку
19 марта 2023 Отзыв взят с сайта Zoon.ru
5,0
Татьяна
Лечила два сложных зуба, она очень добрая. Отношение как к пациенту теплые. Специалист с большим багажом знаний.
10 февраля 2023 Отзыв взят с сайта Zoon.ru
5,0
Виктория кесер
Преимущества: Единственная клиника куда ходить не страшно, обслуживаюсь в клинике на Янгеля (Варшавское шоссе, 152к2) лет 5 точно. (нашла договора начиная с 2018г) . Привела родителей, мужа. Когда то решила пролечить зуб в другой клинике по ДМС (это была моя ошибка - месяц меня мучали - никак не могли удалить нерв) . Зато в данной клинике, всегда прихожу с уверенностью, что все пролечат без боли. Делала и коронки, и пломбы, все отлично. Так же нравится отношение к пациентам. На самом деле, если сравнивать цены с другими клиниками - с акциями туи получается очень выгодно) . В прошлом году лечила зубы, находясь в положении - очень внимательно относились в процессе всего лечения)
Недостатки: Нет
6 февраля 2023 Отзыв взят с сайта Zoon.ru
5,0
Юлия Н.
В клинике Эсперанто главные критерии: высокий профессионализм, отношение к пациенту, идеальный результат. Мой врач Аскеров В.Ф. сумел объяснить мою проблему и назначил дату следующего приема. Необходима имплантация с наращиванием костной ткани.
27 января 2023 Отзыв взят с сайта Zoon.ru
5,0
Наталья Ивановна
В стоматологии Эсперанто маме ставили импланты у Сергея Робертовича. Занимались установкой месяца 2. Благодарим за профессионализм врачей, которые нам помогли. Спасибо за отличный результат вы вернули маме возможность правильно питаться и нормально улыбаться!
21 января 2023 Отзыв взят с сайта Zoon.ru
5,0
Маргарита
Преимущества: Профессионализм, доброжелательность, внимательность
Комментарий:
Прохожу лечение на брекетах у Уховой Аси Валерьевны- это Мега доктор!! Слова безграничной благодарности этому прекрасному врачу, внимательному человеку и профессионалу.
Помимо высочайшего профессионализма, так же хочу подчеркнуть исключительно внимательное и доброжелательное отношение всех сотрудников.
Результаты вашего труда меняют качество жизни, повышают самооценку, придают уверенности в себе.
Еще раз большое всем спасибо!
4 декабря 2022 Отзыв взят с сайта Zoon.ru
5,0
Кирилл
В Москве самая классная больница "Стомакс", классный ремонт в больнице, очень вежливые доктора, мне очень понравилось буду всегда туда ездить.
9 июня 2022 Отзыв взят с сайта Zoon.ru
5,0
Юрий Тимофеев
Запустил зуб и пропустил пару обязательных осмотров зубов и обратившись через время выяснилось, что кариес в виде небольшой точки разросся и предложили удалить и после чего восстановить зуб.
Врач Аскер Арсланович Алибеков большой специалист и это сразу видно, очень благодарен, что увидел рекламу Стомакс" в городе Москва и обратился в вашу клинику))
9 июня 2022 Отзыв взят с сайта Zoon.ru
5,0
Muhammad Shoaib Sarkar
Dentistry 'Stomax' Moscow One of the the best clinic in Moscow.This clinic was recommended by my best friend.Then I personally go there for my illnesses.Then analysed there are many high professional doctors.there service and behavior to the patients was very beautiful.And the clinic was very net and clean.At last we can say one of the best clinic in Moscow .
9 июня 2022 Отзыв взят с сайта Zoon.ru
5,0
Sergey Gaev
Здравствуйте, думаю что стоматология в Москве 'Стомакс' это действительно лучший вариант для лечения зубов. Лично у меня остались только хорошие впечатления, врач специалист своего дела вылечили мне зубы просто счастлив, спасибо вам огромное!!!
4 июня 2022 Отзыв взят с сайта Zoon.ru
5,0
Allan Soboris
Аскер Арсланович очень внимательный врач! Чуткий, трепетный, добрый, располагает к себе! В своей работе профессионал. Рекомендую этого врача. Делает тщательно, аккуратно, на совесть. Отношение к больному очень хорошее.
2 июня 2022 Отзыв взят с сайта Zoon.ru
5,0
Виктория Крапивко
Внимательное отношение персонала, высокая квалификация всех врачей. Всё отполировано, держится, не отваливается. Делала пломбирование зуба. стоматология "Стомакс" в городе Москва одна из лучших
2 июня 2022 Отзыв взят с сайта Zoon.ru
5,0
Леван Бокучава
За ночь опухла вся левая сторона. Обратился за помощью в Стомакс в городе Москва, в течение небольшого количества времени мне оказали помощь, промыли десну, поставили дренаж. Прописали лекарства. Помощь оказана качественно. Цена достойна качества оказанных услуг.
25 мая 2022 Отзыв взят с сайта Zoon.ru
5,0
Сергей Будников
Стоматологию "Стомакс" в городе Москва рекомендовала коллега. Клиника приятная, комфортная, персонал отзывчивый, предупредительный. Оформился быстро, по сути подписал уже готовый договор и прочие согласия. Принимал врач Аскер Арсланович. Составили план лечения. Доктор объяснил, что будет делать и в какой последовательности. Каждый прием проходил в спокойной приятной обстановке. Мне было комфортно. По-моему, это важно, если речь идет о лечении зубов – процедуре неприятной и даже болезненной. Врач удалил нерв из давно беспокоящего зуба и нарастил резец, часть которого у меня неудачно откололась. Сделал это аккуратно и безболезненно. Больной зуб больше не беспокоит, резец в целости и, думаю, долго таким останется. На следующем приеме восстановили еще один зуб, проблемный почти разрушенный. Лечением доволен, Аскер Арсланович компетентный специалист, думаю, что не существует проблемы, с которой бы он не справился. Очень коммуникабельный, бережный к пациенту, зубы лечит аккуратно. Много рекомендаций от него получил. Рекомендую и клинику и врача.
25 мая 2022 Отзыв взят с сайта Zoon.ru
5,0
Mohamad Farzaneh
Доктор хороший. Я не первый раз у него на приеме. Он в полном объёме предоставил мне рекомендации, назначения и дальнейшее лечение. Я получил от врача, только
16 мая 2022 Отзыв взят с сайта Zoon.ru
5,0
Михаил Миронов
Проходил лечение у доктора в стоматологии "Стомакс" в Москве. Хотел бы отметить сразу несколько положительных моментов. Доктор провел полную диагностику, в результате чего был правильно поставлен диагноз, а так же было назначено необходимое, и главное эффективное лечение. Спасибо!
16 мая 2022 Отзыв взят с сайта Zoon.ru
5,0
Андрей Александров
Супер! Цена приемлемая, качество работы на высоте. Рекомендую.
16 мая 2022 Отзыв взят с сайта Zoon.ru
5,0
Ангелина Шведова
Лечили зубы в этой стоматологии всей семьей. Воспользовались семейным сертификатом и скидками - первый член семьи получил скидку 20%, второй – 25% и третий – 30%. Это значительная экономия с учетом того, что цены на все сейчас растут. Сделали качественно, нашли подход к ребенку, теперь не боится лечить.
28 апреля 2022 Отзыв взят с сайта Zoon.ru
5,0
Илья Панов
Остался доволен этой клиникой. Отличные стоматологи, хороший сервис. Врач ответит на все процедуры и подготовит. Хорошая цена за высокое качество работы
18 апреля 2022 Отзыв взят с сайта Zoon.ru
5,0
Юлия Митина
У сына в 2 года, появился желтый налёт на передних зубах, обратились к детскому стоматологу. Малыш впервые не испугался, врач нашёл подход к ребёнку, очень аккуратно в игривой форме осмотрел полость рта, и назначил нам ряд уходовых процедур, для сохранения эмали зубов. Пасту и щётку тоже подобрал индивидуально по возрасту и типу эмали. Объяснил с чем связано данное появление налёта, успокоил одним словом. Теперь планируем и дальше наблюдаться у данного специалиста.
12 апреля 2022 Отзыв взят с сайта Zoon.ru
5,0
Юрий
В 2020 году проходил лечение зубов + имплантацию в данной клинике. Осталось крайне положительное впечатление. Мне сделали хорошую скидку, в день обращения я прошёл бесплатный осмотр, консультацию и мне был составлен план лечения. Особенно хотел бы отметить компетенцию и профессионализм терапевта-стоматолога 👍 Кроме того, хочу отметить, что мне всегда подбирали удобное время для лечения и все работы были выполнены в срок и без нареканий. Уже рекомендовал многим знакомым данную клинику и планирую в дальнейшем сам туда обращаться.
9 апреля 2022 Отзыв взят с сайта Zoon.ru
5,0
Вероника
Преимущества: Профессионализм врачей.
Комментарий:
Мне предстоял длительный и непростой процесс по лечению и восстановлению зубов и прежде чем сделать выбор в пользу какой-либо из клиник я консультировалась в 5 местах. Остановила свой выбор на клинике "Все свои", что на Янгеля, так как тут мне понравилось и качество консультации, и ценовая политика и атмосфера самого лечебного заведения, так же мне его рекомендовала знакомая. И мы приступили… В данный момент позади остались 2 этапа и 2. 5 года лечения, поэтому с уверенностью могу сказать, что в правильности моего выбора за этот период я убедилась. Самые большие этапы- это лечение у терапевта Мунухаевой Г. Ю. и ортодонта Уховой А. В... Что могу сказать про терапевта-лучший из терапевтов, с которым мне удалось встречаться. Всё старательно, качественно, если что чуть не так в процессе-сразу корректирует без просьб и замечаний. Что для меня особенно было важно, не чувствовалось никакой так называемой "раскрутки клиента", никаких доп опций, порой даже наоборот за анестезию не доплачивала) . Когда мы радуемся результатам, некоторые доктора от этого получают не меньше радости, и она несомненно относится именно к таким специалистам, делает работу на совесть. Мужа тоже к ней отправила и смело могу рекомендовать её всем. Ганна Юрьевна, спасибо вам огромное, Вы Доктор с большой буквы! Ася Валерьевна-ортодонт. 2 года и 4 месяца я носила брэкеты и ей, мне кажется, со мной временами было не легко! Сами понимаете - много различных промежуточных этапов, когда то что вы видите, вам не нравится, охватывает паника, страх, вдруг что-то идёт не по плану, в интернете полно историй, когда люди судились, теряли здоровые зубы и прочая жуть... Я иногда такая накрученная и нервная приходила к ней и начинала задавать подозрительные вопросы. Ася Валерьевна всегда каким-то чудом и пониманием сводил эту нервозность на 0, как будто её не замечала (а это, знаете ли, отдельный талант) и по несколько раз невозмутимо отвечала на мои вопросы, каждый раз успокаивая и убеждая, что все под контролем. В итоге мы получили хороший результат, и если вы выберете её как своего ортодонта то просто доверьтесь, она сделает все на высшем уровне! На данном этапе испытываю светлые и искренние чувства удовлетворенности и благодарности Асе Валерьевне и Ганне Юрьевне за ваш высокопрофессиональный труд! Сейчас продолжаю лечиться в данной клинике, предстоит имплантация и виниры. Про новых врачей пока ничего не знаю, но позже обязательно поделюсь своим мнением.
31 марта 2022 Отзыв взят с сайта Zoon.ru
5,0
Алла
Преимущества: Доброжелательное и внимательное отношение к пациентам. Умение грамотно подойти к проблеме, профессионально ее устранить.
Недостатки: Нет
Комментарий:
В клинике работают профессионалы. Удаляли сложную 8-ку, все было сделано аккуратно, безболезненно. На следующий день даже ничего не опухло. Спасибо.
30 марта 2022 Отзыв взят с сайта Zoon.ru
5,0
Ира
Преимущества: Часто бываю по работе в командировке . В последний раз разболелся зуб с такой страшной силой, что стало ясно до дому не дотерпеть. Закончив работу ,по дороге в гостиницу заметила эту клинику. Приняли меня без записи, дружелюбно и даже посочувствовали. Наверное мое унылое выражение лица вызвали такое чувство персонала. В очереди пришлось ожидать не долго. Наконец меня приняли, я села в удобное кресло и закрыла глаза . Врач успокоил и стал шутить ,отвлекая меня .Я почти не почувствовала укола, которых боюсь до смерти! Через несколько минут мой зуб безболезненно удалили.
Порекомендовали пропить курсом антибиотик , не забыли сказать, что есть нельзя 2 часа и желательное полоскание.
Я же была очень счастлива избавлением от этой не выносимой боли, которая преследовала меня несколько часов подряд!!!
Недостатки: ИХ ПРОСТО НЕТ!!!
Комментарий:
В салоне очень красивый интерьер. кругом идеальная чистота. Удобные кресла. Отличный и высоко квалифицированный персонал, добрый и отзывчивый, внимательный и обаятельный!!!!!
Воспоминания об этой клинике только самые позитивные!
Выражаю глубокую благодарность ВАШЕМУ ПЕРСОНАЛУ!!!!
ОГРОМНОЕ СПАСИБО!!!
30 марта 2022 Отзыв взят с сайта Zoon.ru
5,0
Eлена
Преимущества: Посещала клинику для того чтобы отбелить зубы (всегда мечтала о белоснежной улыбке) Просто в восторге от полученого результата, а так же очень приятный, вежливый персонал, стоматолог дал все рекомендации по уходу за моими теперь уже очень красивыми зубками. Ещё посещали клинику чтобы исправить прикус у ребёнка, так как мы боялись врачей, думала что это будет просто нереально. Но к маленьким пациентам так свой особенный подход, всё прошло практически в игре. Буду Вас всем советовать! Желаю Вам процветания!
29 марта 2022 Отзыв взят с сайта Zoon.ru
5,0
Алтун
Преимущества: Аккуратность!!
Комментарий:
Рекомендую! Уже несколько лет посещаем этот центр всей семьёй и очень всем довольны. Чистота и порядок кругом. Комфортная и уютная атмосфера, вежливые и внимательные администраторы.!!!
24 марта 2022 Отзыв взят с сайта Zoon.ru
5,0
Ксения
Преимущества: мед персонал
Комментарий:
хожу сюда не первый раз, всем очень довольна, цены вполне нормальные, я очень довольна, всем советую.
24 марта 2022 Отзыв взят с сайта Zoon.ru
5,0
Маргарита
Преимущества: Добрый день,недавно делала здесь отбеливание,все было чистенько,быстренько и не больно,а самое главное-не дорого. Большое спасибо!
23 марта 2022 Отзыв взят с сайта Zoon.ru
5,0
Надежда Одуванчик
Преимущества: Попала на прием в день обращения
Недостатки: Высокие цены
Комментарий:
Не была у стомотолога лет 5. И, честно сказать, это единственный врач, которого я боюсь. Стал беспокоить зуб, реагировать на холодное и горячее. Долго не думая я записалась на прием. Все прошло отлично. Мне сделали проф чистку зубов и пломбу на больной зуб. Результатом я довольна.
23 марта 2022 Отзыв взят с сайта Zoon.ru
5,0
Анар Искендеров
Преимущества: Персонал качество работы и цены
Недостатки: Нету
Комментарий:
Здравствуйте хочу поделиться своим мнением о стоматологии все свои. Отличное место для лечения и профилактики полости рта. Здесь огромный список услуг за приемлемые цены. Начну с стоматологии выглядит она отлично. Есть современное качественное оборудование. Само место чистое. Врачи настоящие профессионалы. Персонал очень понравился все доброжелательные и любят свою работу. Я ношу брекеты. И для меня нужно посещение хорошего специалиста каждый месяц. Здесь мне помогли с этим. Брекеты проносил все отлично зубы ровные все устраивает. Отличное место для лечения полости рта всем рекомендую
20 марта 2022 Отзыв взят с сайта Zoon.ru
5,0
Андрей
Преимущества: Мне очень понравилась поликлиника.Хорошие врачи,отличный персонал.Доктора работают быстро и качественно
Комментарий:
Просто современная поликлиника
19 марта 2022 Отзыв взят с сайта Zoon.ru
5,0
Елизавета
Комментарий:
Стоматологи отличная, все сделали хорошо, дискомфорта не было , самая лучшая стоматология!
16 марта 2022 Отзыв взят с сайта Zoon.ru
5,0
Ирина
Преимущества: Качество работы, скорость и вежливое отношение к клиентам
Недостатки: Не выявлено
Комментарий:
Хочу поделиться своими впечатлениями. Лечила зуб в этой клинике впервые и очень довольна результатом. Врач-мастер своего дела, сделала все быстро и без боли. Порадовало деликатное отношение к клиентам. Обязательно вернусь сюда снова
15 марта 2022 Отзыв взят с сайта Zoon.ru
5,0
Виктория Сомова
Преимущества: Качественно
Комментарий:
Записалась в данную клинику на протезирование зубов. Врач предложил наиболее подходящую для меня ценовую категорию по установке коронок. Также есть вариант с кредитом,для того кто в данный момент не распологает финансами. Качественно работают, и подход индивидуальный к каждому.
11 марта 2022 Отзыв взят с сайта Zoon.ru
5,0
Евгений Александрович
Преимущества: Без боли делают работу.
Недостатки: Недостатков я не нашел.
Комментарий:
Как-то после того, когда долго не ходил к стоматологу, что бы лечить свои зубы, пришёл в стоматологию "все свои". Выучить нужно было два зуба. Стоматологи сошлись на том, что будет стоять одна пломба и одна коронка из керамического материала. Коронку сделали быстро, примерили и поставили сразу, держится до сих пор. Пломбу сделали за один раз! Рекомендую !
10 марта 2022 Отзыв взят с сайта Zoon.ru
5,0
Диана Иванова
Преимущества: Цены не кусаются
Недостатки: Нет
Комментарий:
Не так давно решила заняться своими зубками ( после родов один выпал и два откололись, плюс отбеливание не помешало ). Обратилась в данную клинику. Получила консультацию и ответы на все свои вопросы. После осмотра мне предложили два варианта на выбор. Это мост и штифты. Я решила что на штифтах будет лучше. Плюс наращивание отколотых зубов. После процедур не чувствовала дискомфорта. Теперь у меня белоснежная и красивая улыбка. Могу улыбаться без стеснения. Спасибо огромное на качественно выполненные процедуры.
9 марта 2022 Отзыв взят с сайта Zoon.ru
5,0
Евгения Парфёнова
Преимущества: Качество, цена, удобное местоположение!
Недостатки: Нет
Комментарий:
Впервые обратилась в частную стоматологию, была очень приятно удивлена! Уютное помещение , приветливые администраторы, шикарные специалисты! Вылечили пульпит: быстро , практически безболезненно, а самое главное качественно и по адекватной цене! Спасибо вам!
12 февраля 2022 Отзыв взят с сайта Zoon.ru
5,0
Алёна
Преимущества: Квалифицированные врачи, чистота, соотношение цена/качество
Недостатки: Не заметила
Комментарий:
Отличная стоматология. Вылечила здесь несколько зубов и сделала проф.гигиену. Врачи клиники очень внимательны и доброжелательны. Все прошло хорошо, а главное безболезненно. Спасибо за это вашим врачам.
11 февраля 2022 Отзыв взят с сайта Zoon.ru
5,0
Дмитрий Свистунов
Преимущества: Чистое помещение, удобные кресла, приятный персонал, профессиональное лечение
Комментарий:
Делали металлокерамические коронки на три жевательных верхних зуба, работой доволен, по ощущениям удобно, дискомфорта нет, держатся крепко. Клиника хорошая, обращался по совету знакомых и не пожалел.
6 февраля 2022 Отзыв взят с сайта Zoon.ru
5,0
Марина Cанина
Преимущества: Профессионализм и доброжелательный персонал, чистота, аккуратность
Недостатки: недостатков нет, всё понравилось
Комментарий:
В клинике проделала огромный комплекс процедур по лечению зубов от кариеса и до установки имплантов. Работой врачей осталась очень довольна и сейчас каждые полгода посещаю клинику для осмотра зубов и профгигиены.
2 февраля 2022 Отзыв взят с сайта Zoon.ru
5,0
Валентина
Очень благодарна Владиславу Дмитриевичу за мои красивые зубы! Виниры просто шикарные, я теперь смело улыбаюсь и у меня красивая улыбка. Раньше стеснялась своих зубов, а теперь одни комплименты. Ещё доктор установил имплант. Теперь зуб как родной. Даже забыла что когда то не было зуба. Большое спасибо! Все вежливо, аккуратно и результат выше всех похвал!
18 января 2022 Отзыв взят с сайта Zoon.ru
5,0
Марк Северинов
Преимущества: Качество услуг, отличные специалисты
Недостатки: Нет
Комментарий:
Удаление зуба прошло хорошо, никаких последствий, на 3 день даже обезболивающее уже не принимал. Теперь недели через 2 приду на осмотр и будем думать на счет импланта!
23 декабря 2021 Отзыв взят с сайта Zoon.ru
5,0
ЕкатеринаБ.
Преимущества: Профессионализм, внимательность, отзывчивость, знание своего дела.
Комментарий:
Детки ходят к детскому врачу Анистратовой С. И. Так же высокой квалификации врач. Ходят на прием с огромным удовольствием и без капли страха. Очень чуткая, внимательная. Нам решила все наши проблемы. Спасибо большое клинике за таких врачей.
8 декабря 2021 Отзыв взят с сайта Zoon.ru
4,0
Ксения Савичева
Отличная клиника-интерьер, обращение. Работа врачей качественная и профессиональная.Цены не кусают. Буду обращаться ещё.
16 ноября 2021 Отзыв взят с сайта Zoon.ru
5,0
Оксана
Только приятные впечатления от лечения в клинике "Всё свои" на Академика Янгеля. Комфортно, без боли и качественно. Большое спасибо врачам за доброжелательное отношение и профессионализм.
11 октября 2021 Отзыв взят с сайта Zoon.ru
5,0
YURIY VIKTOROVICH SAFRYGIN
Лечусь в клинике Все свои на Янгеля с 2018 года. До этого ходил к частному стоматологу у которого свой кабинет, вроде поначалу все ок было, а потом оказалось, что каналы не долечены, материал невысокого качества, что и привело в дальнейшем к потере зубов. Выбрал клинику Все Свои и не ошибся. Здесь работают высоклассные доктора и менеджеры, используют современные материалы и оборудование.
Проходил протезирование у стоматолога-ортопеда Дибирова Магомеда Данияловича. Это доктор от Бога, его знания и навыки помогли мне сохранить уже два безнадежных зуба, он мастер своего дела. Коронки получились как настоящие зубы, вот уже прошло два года как они радуют меня.
Недавно в 2020г. потребовалось вставлять импланты, выбрал по отзывам и по совету своего менеджера Елены Спиридоновой хирурга имплантолога Еремина Дмитрия Александровича. Вот это он мастер, увлеченный своей работой доктор. Мне удалял корни и одновременно установил 4 импланта, я не почувствовал ни боли ни неприятных ощущений. Все делает четко и со знанием дела. Он крутой доктор. На операцию я к нему шел с уверенностью и без страха, т.к. он настраивает на хороший исход он и психологически работает с пациентом, разъясняет, показывает как и что он будет делать, и потом после операции поинтересуется, проконтролирует как приживаются импланты. Вобщем это доктор, который точно поможет восстановить зубы и к которому всегда идешь с удовольствием и уверенностью, что он всё сделает на высшем уровне.
Огромная благодарность Вам, Дмитрий
Александрович за Вашу работу.
Также очень четко поставлена работа менеджеров, они тебя ведут от и до и всегда поинтересуются как после лечения. Хочу поблагодарить менеджера Елену Спиридонову, очень отзывчивый человек всегда поможет, посоветует, проконсультирует по плану лечения. И что ценно клинике Все свои на Янгеля к тебе относятся с уважением, всегда помогут и не навязывают не нужных услуг, а цены очень адекватные и приятные.
28 сентября 2021 Отзыв взят с сайта Zoon.ru
1,0
Alexander Litvinov
Отвратительное место. Уехал в ужасе от них.
1. Приехал к ним, чтобы установить отлетевшую коронку. Оказалось, что на выполняемые работы они не предоставляют никакой гарантии!!! То есть на следующий день коронка бы отвалилась и всё, снова плати деньги ибо гарантии никакой. Как вообще это возможно? Стоматологические услуги без гарантии.
2. Разные цены на оплату наличными и по карте. По карте дороже. Алё, это незаконно! При высокой стоимости работ у себя могли бы и позволить не унижаться так.
3. В целом создалось впечатление, что клиника очень просела в плане качества и отношения к клиентам, неразбериха и бардак.
16 сентября 2021 Отзыв взят с сайта Zoon.ru
5,0
Анатолий
Фаберже от стоматологии. Другого эпитета и сравнения я подобрать не могу после ювелирной работы над моими многострадальными зубами Маэстро Дмитрия Игоревича Сытника. Друзья, кто читает этот отзыв, имейте в виду, что я попал в клинику случайно, дикая зубная боль привела. Будучи записан в пафосную клинику на Красной Пресне я не мог терпеть и пришел в первую клинику по моему маршруту. Этой клиникой оказалась Все Свои на Варшавке. Вначале меня спас от боли великий (иного слова не подобрать) Дмитрий Ельшаев, - восходящая звезда мировой стоматологии. Но затем я был в искреннем восторге от Маэстро Дмитрия Сытника! А дьявол, как известно, в деталях. Итак, работает Дмитрий уверенно и изящно, так со мной работали только немецкие профессора из Мюнхена. Он использует оптические бинокуляры, что позволяет творить чудеса, микрон-это слишком много для него. Сам не покажет, но попросите его показать фотографии работ. Любой бы американец-ортопед (я, как гражданин США могу позволить себе такое сравнение) с таким уровнем работы открывал бы клинику на Родео Драйв в LA. А Дмитрий Игоревич, просто творит чудеса. Если у Вас есть опыт, то вспомните тонны копирки, которые изводят обычные ортопеды, заставляя вас в сотый раз отбивать чечетку зубами. Маэстро Сытник вас мучить не будет. Твердо и уверенно и изящно в несколько мгновений избавит от дискомфорта. С нетерпением жду красивые коронки, хотя временные сделал уже произведением искусства!
1 августа 2021 Отзыв взят с сайта Zoon.ru
5,0
Наталия
Добрый день, в этой клинике мы были в первый раз, это вообще первый опыт лечения зубов младшей дочери , ей 6 лет. Нужно было сделать пломбу , мама боялась больше, чем дочка, но Слава Богу, благодаря опыту терапевта, вежливому внимательному отношению , все прошло хорошо. Нашли контакт и подход к ребенку. Дочь спокойно высидела в кресле, смотря мультик
А после приема еще и игрушку подарили. Цена оказаласьприемлемая, и даже ниже , чем в других клиниках. Рекомендую !!!
9 июня 2021 Отзыв взят с сайта Zoon.ru
5,0
Алёнка
Преимущества: Качественная работа докторов, приемлемое ценообразование
Комментарий:
Осталась довольна лечением в этой клинике. Чисто, стерильно, координатор провела полную консультацию, была деликатна и внимательна. Врач-терапевт качественно и безболезненно залечил больной зуб. Однозначно рекомендую
27 мая 2021 Отзыв взят с сайта Zoon.ru
5,0
Карина
Комментарий:
Прохожу комплексное обследование, проведением всех операций и результатом осталась довольна.
Первое, чем располагает к себе клиника — это очень доступные цены. Нет никаких скрытые платежей. Доктора подробно объясняют, какие этапы лечения и для чего будут проводиться. Координаторы в соответсвии с платом лечения рассчитывают стоимость. Есть возможность выбора коронок, пломб и др. в разных ценовых сегментах.
Доктора — профессионалы. Дружелюбные и внимательные координаторы.
И самое главное — качество лечения!
26 мая 2021 Отзыв взят с сайта Zoon.ru
5,0
Сергей
Преимущества: Комфорт, качество, цены, быстрота
Комментарий:
В апреле 2021 проходил лечение в клинике "Все Свои" около м. Войковская. Первичное обследование и диагноз были поставлены в течение 15 минут с момента обращения в клинику. Куратор конкретно разъяснил все детали и особенности лечения. После диагностики стоматолог-хирург сразу приступил к устранению проблемы с моим больным зубом. Все этапы лечения сопровождались вежливым обращением со стороны всего персонала клиники.
В целом - оценка "отлично"!
26 мая 2021 Отзыв взят с сайта Zoon.ru
5,0
Алиса
Преимущества: Быстро, качественно, относительно недорого
Недостатки: Не обнаружила
Комментарий:
Лечила в клинике у м. Беляево кариес, поставили 2 пломбы и ещё 2 осталось. Ранее тут же делала проф гигиену. Качеством всех процедур и лечения довольна. Все врачи хорошие специалисты. Буду обращаться ещё при необходимости
25 мая 2021 Отзыв взят с сайта Zoon.ru
5,0
Дмитрий
Преимущества: Нравится ценообразование. Платишь один раз за сформированный план лечения и потом не нужно ничего доплачивать сверху. Ну и конечно же специалисты отличные!
Недостатки: Разве, что мебель можно обновить
16 мая 2021 Отзыв взят с сайта Zoon.ru
5,0
sofokl88
Преимущества: отличная работа всех специалистов, к которым обращался в клинике. Работают профессионалы, первая клиника, в которую стал ходить не боясь лечения, т.к. делают быстро без боли, цены не накручивают, лишних визитов тоже нет.
13 мая 2021 Отзыв взят с сайта Zoon.ru
5,0
AnanasPro
Преимущества: Всем доброго времени суток!)
Хочу оставить отзыв о стамотологии "Все свои".
У меня возникла проблема, с передним зубом(отсутвуие его), "голливудская улыбка" была просто ужасна, выглядил как алкаш с подворотни, нужо было срочно решать проблему, долго выбирал стоматологию и не разочаровался.
Позвонил в компанию, ответила девушка, я ей описал проблему и что срочно ее надо решить прям в ближайшее время, она нашла свободную запись к доктору (которая была через час) на Маяковской, я сразу же поехал туда, встретили меня две дувшки на ресепшене, попросили подождать 5м, самое помещение очень цивильное,двухэтажное, красивая люстра, после меня позвали в кабинет, я рассказывал о проблеме, и мы начали ее решать, спасибо большое огромное, девушке консультанту(не помню ее имя) , т. К. Имплант для меня был не по карману, оперативным решением было поставить бабочку, она сделала очень хорошую скидку на нее, я ей очень благодарен. Потом врач, ортодонт сделал слепок, мы выбрали цвет зуба, дополнительно БЕСПЛАТНО они осмотрели все мои зубы, где есть проблемы и что нужно еще решать в будущем, сказали какой надо лечить и от какого нужно избавиться (восьмёрка), потом я попросил ускорить лабораторию т. К. Надо было ждать готовность зуба, а ходить так 5-6дней вообще не вариант, и тут стоматологиия пошла на встречу, ускорила процесс и через 3 дня я уже приехал на повторный прием, для регулировки бабочки .
Качество и обслуживание, в общем все понравилось!
Редкомендую даннуюф стоматологию!
!
Недостатки: -
Комментарий:
Быстрое выявление проблемы! Быстрое решение
13 мая 2021 Отзыв взят с сайта Zoon.ru
4,0
5Thousand
Преимущества: Приемлимые цены
Недостатки: Далеко добираться
Комментарий:
Всем привет. Очень долго выбирал себе стоматологическую клинику в СПБ, в других клиниках было много негативных моментов, основные из них это цены на предоставляемые услуги и как мне казалось не очень опытные специалисты. Наткнулся на эту клинику случайным образом в интернете, решил попробовать так как пришло время удалять зуб мудрости. Выбрал клинику на комендантском проспекте, все сделали быстро и качественно. В последствии лечил у них ещё четыре зуба, персонал вежливый, врачи опытные, всегда можно посоветоваться и узнать что и как лучше сделать. Цены намного приемлемее чем в других местах где я был. Есть интересная возможность получать скидки на последующие услуги в их клинике при оплате услуг наличными, это очень удобно.
12 мая 2021 Отзыв взят с сайта Zoon.ru
5,0
Olga Luky
Преимущества: Давно пользуюсь услугами стоматологии «Все свои» и всегда качество услуг и цена соответствовали ожиданиям. Хорошее, современное оборудование помноженное на специалистов и высокого уровня дают прекрасные результаты по лечению зубов. Надеюсь, что клиника всегда будет дорожить своими клиентами и репутацией. Лечила много раз зубы, пломбы все на месте, не больно, не страшно. А это самое главное.
Недостатки: Не заметила
7 мая 2021 Отзыв взят с сайта Zoon.ru
5,0
Татьяна
Преимущества: Лечила зубы у Рустам Артуровича , доброжелательный, хорошо лечит зубы. Все обьясняет.
Недостатки: Нет
Комментарий:
Вежливый персонал
7 мая 2021 Отзыв взят с сайта Zoon.ru
5,0
Нурият
Преимущества: Работа персонала, удобное время записи,работа гигиениста и координатора
Недостатки: В целом,недостатков не обнаружила
Комментарий:
Я обратилась в эту клинику по рекомендациям знакомых с небольшой болью в зубах. Дело в том,что я относительно недавно лечила зубы и не понимала в чем причина. Меня записали на бесплатную консультацию,на которой мне провели осмотр и сделали снимок для точности. Оказалось,что у меня был поверхностный кариес, а также мне потребовалась профессиональная гигиена с учетом особенности моих чувствительных дёсен. Координатор подробно описал все варианты лечения,проконсультировал по поводу акций,и я выбрала наилучший вариант для меня. Мне очень понравилась пунктуальность, а также работа моего врача-гигиениста ,которая очень бережно и профессионально лечила мои зубы)
6 мая 2021 Отзыв взят с сайта Zoon.ru
5,0
Полина Литикова
Преимущества: При посещении осмотр терапевта и снимок бесплатный, дальше Вам предлагают лечение – можно выбрать наиболее подходящий вам по стоимости план лечения. И потом, если вас все устраивает, вы подписываете договор оказания стоматологических услуг с клиникой. Они часто проводят различные акции, скидки; получается достаточно выгодно.
Персонал вежливый во всех филиалах клиники – я лечилась в Раменках и Строгино. Удобное расположение, всегда можно найти филиал, который будет ближе всего к вашему месту работы/учебы/проживания. А также клиника работает допоздна, лично меня это выручало.
Недостатки: В целом, никаких недостатков я вспомнить не могу, хотя посещаю клинику уже давно, у меня осталось исключительно хорошее впечатление, и я могу смело ее рекомендовать.
Комментарий:
Посоветовала маме и другу эту клинику, мама недавно прошла там лечение и ей тоже все понравилось.
4 мая 2021 Отзыв взят с сайта Zoon.ru
5,0
Денис Наумчик
Преимущества: Высокий стандарт обслуживания, бесплатная аппаратная диагностика, опытный доктор, любое время приема.
Недостатки: В кабинете может вестись прием двух пациентов
Комментарий:
Очень хорошее впечатление осталось.
4 мая 2021 Отзыв взят с сайта Zoon.ru
5,0
Яна
Преимущества: Хороший сервис и цена-качество.
Недостатки: Не заметила.
Комментарий:
Являюсь поставным клиентом 5 лет. Все устраивает.
3 мая 2021 Отзыв взят с сайта Zoon.ru
5,0
Наталья
Преимущества: Месяц назад поставила импланты в этой клинике. Хирургом был Исламов Р.Н. Операция сделана профессионально. Большое спасибо за работу! Так же ставила пломбы у Воронцовой, все отлично.
Недостатки: Не заметила.
27 апреля 2021 Отзыв взят с сайта Zoon.ru
Удалить отзыв
Популярные услуги
Базовая стоматология
уточняйте по телефону
Стоматологическая клиника
уточняйте по телефону
Отбеливание зубов
уточняйте по телефону
Металлокерамика на зубы
уточняйте по телефону
Челюстно — лицевая хирургия
уточняйте по телефону
Ортодонтия
уточняйте по телефону
Ортопедическая стоматология
уточняйте по телефону
Установка брекетов
уточняйте по телефону
Хирургическая стоматология
уточняйте по телефону
Эстетическая стоматология
уточняйте по телефону
Остались вопросы?
Вы можете воспользоваться любым из указанных способов связи
Контактный номер
+7 (499) 272-27-...
Показать